

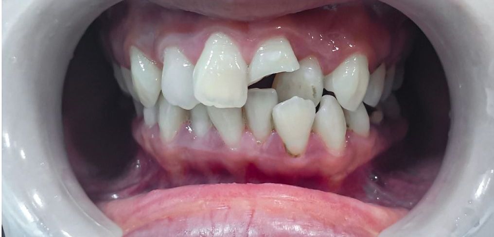
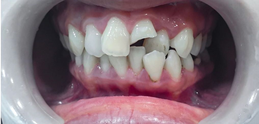
This Isn’t Something You “Wait Out.” It Usually Gets Worse.
Respectful care. Clear explanations. No judgment. Get a same-week appointment with Laurel’s trusted dental team.
Here’s how we help—fast:
Same-day emergency appointments for severe pain, swelling, or broken teeth
Immediate pain relief, even if you haven’t seen a dentist in years
Honest answers & upfront pricing before any treatment starts
Emergency-focused care — no long waits, no judgment, no pressure



Dr. Shradha Sharma is a graduate of Tufts University School of Dental Medicine where she also completed her residency in Esthetic Dentistry Fellowship. She also completed more than eight years of research and teaching at Tufts Dental School before joining Georgetown Family Dentistry in 2011 and remains a visiting faculty member there.
Dr. Sharma is a member of the American Dental Association and the Massachusetts Dental Society and has more than a decade of experience working with patients to find complete health and confidence through preventative and esthetic dentistry. Her research and practice have made her an industry leader on Restorative Dentistry. She is a published expert on the subject and lectures around the country to colleagues and students.
As a practitioner, Dr. Sharma remains at the edge of her field, believing that new developments and advancements in treatment provide her patients with the most options and value. The understanding and communication of these new opportunities to patients is at the heart of her practice.
Outside the office, Dr. Sharma believes in living life to the very fullest. She lives in a quiet neighborhood in the North Shore with her husband and their two children.

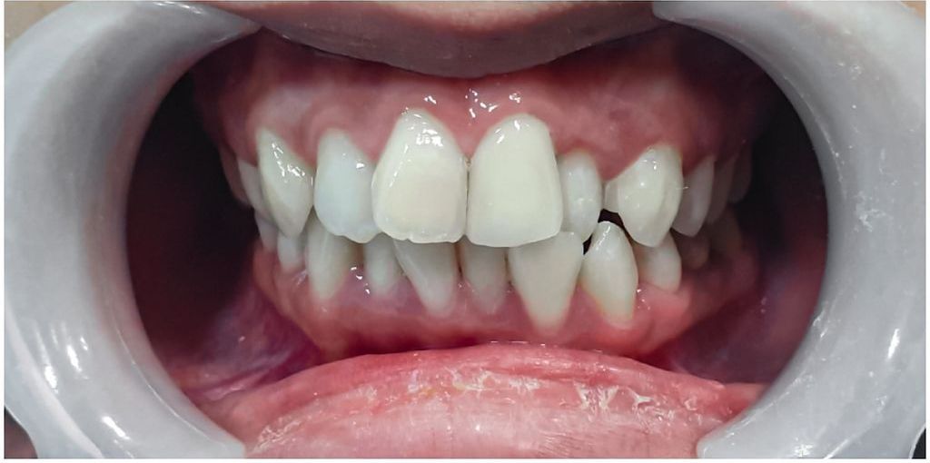
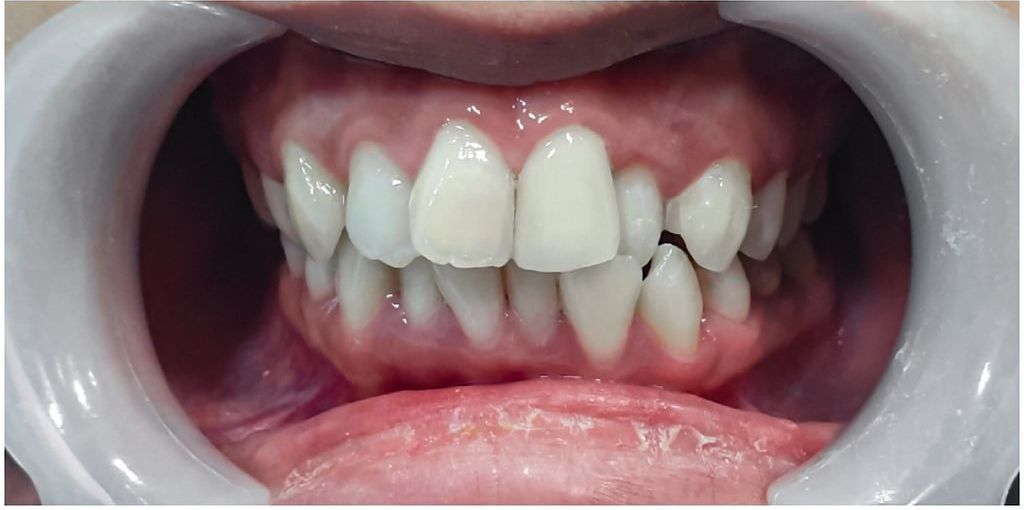
Branch Street Dental provides high-quality, modern dental care through a compassionate, experienced team led by Dr. Shradha Sharma. Patients enjoy advanced technology, comfortable treatment options, flexible payment plans, and comprehensive services in a welcoming, patient-centered environment.
"5 stars! I’m so happy I found Branch Street Dental when I moved here. The staff has always been so kind, especially Dr. Sharma. She took the time to make sure I was comfortable and happy before my procedure. Will be looking forward to my next appointment! Thank you!"

"Out of all the dentists I have visited through out my years, this is the most considerate, professional, kind and efficient dentist. Everyone is genuinely nice and respectful. You are free to speak your concerns and they are so good about guiding you and making you feel very comfortable. This dentist is experience is like being at a Spa (truly, not kidding). Thank you everyone for making me feel so welcome."
"Everyone is wonderful! Smiles, laughter, and a great experience. Yes, at Branch Street Dental it is possible to have fun at the dentist! :) When was the last time you were able to say that about your dentist! :) They truly care about you as a person not just your teeth.

Reasons for tooth extraction include:
Severe tooth damage or decay beyond repair
Overcrowding or extra teeth blocking eruption
Creating space for orthodontic treatment
Impacted or painful wisdom teeth
Advanced gum disease affecting bone support
Teeth affected by radiation therapy needs
Infection risk in patients with weakened immune systems

